Pose d'extension de cils sur Dona aujourdhui...
Bonne base de 9mm
B et C en 0.20 en 9-10-11-12 et qq cils C en violet et bleu...5
( elle a voulu copier sur moi....lol)
Environ 100 cils par oeil....en 2 bonnes heures!!!
On voit bien aussi mon strass qu'elle m'a mis avant !!!
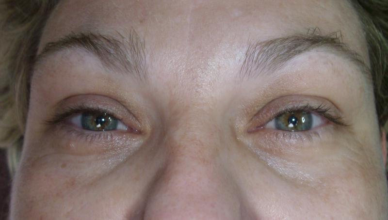
Bonne base de 9mm
B et C en 0.20 en 9-10-11-12 et qq cils C en violet et bleu...5
( elle a voulu copier sur moi....lol)
Environ 100 cils par oeil....en 2 bonnes heures!!!
On voit bien aussi mon strass qu'elle m'a mis avant !!!