Re : extension sur type asiatique??
cc christ,
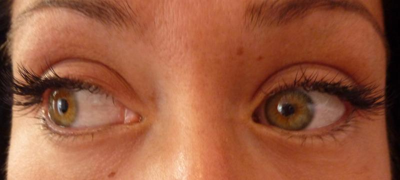
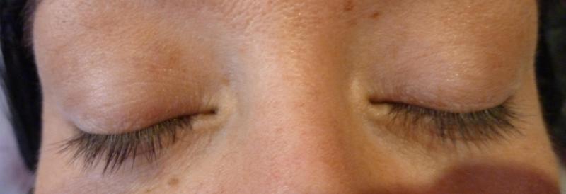
Il faut que tu essais de tirer les extensions collées entre eux. Sur les photos 2 et 4 on voit les paquets de cils. perso, je trouve que c'est pas jolie.
Désolée mais je suis une vraie perfectionniste, donc ne prends pas mal.
conseils :
- Essais de brosser les cils plus souvent pendant la pose
- Mets moins de colle ( retire la colle sur le gadet )
- tires sur les points des extensions pour bien les séparer ( effet cil par cil)
- prends ton temps pour faire une pose, Faire une pause de temps en temps en regardant là où il les cils collés et essaies de les isoler.
si tu laisses les paquets de cils comme ca, c'est très désagréable pour la cliente. Ca va lui gener lorsqu'elle fermera bien ses yeux.
Heureusement que je suis pas formatrice, sinon je suis super chainte ...:30-niceeyes:
bonne continuation,bis
céline