Follow along with the video below to see how to install our site as a web app on your home screen.
Note: This feature may not be available in some browsers.
j'en ai trouvé 3 dans une poubelle il y a un mois ..j'en ai gardé 2 car j'ai déjà une chatte et ma fille a pris le 3eme..dur dur toutes ces personnes qui les abandonnent...et dans 3 mois stérélisation obligatoire....
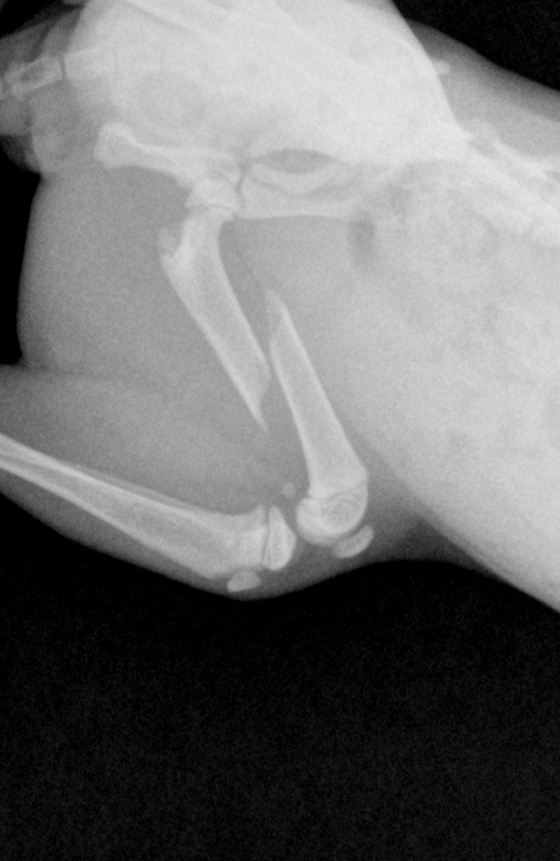
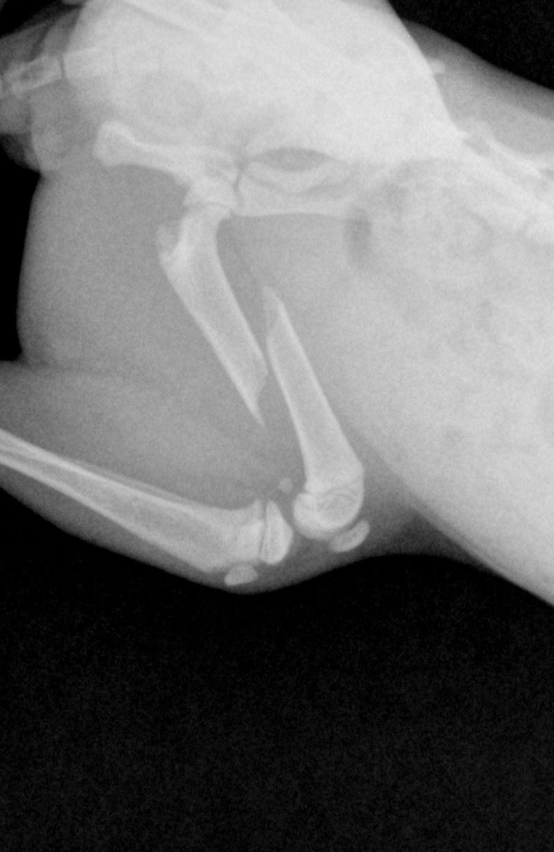
Afficher la pièce jointe 598417 voila le resultatAfficher la pièce jointe 598421 du chaton que j'ai recupere mercredi
oui jolie il va etre opere cette apres midi et du coup je le garde car ma fille est completement gaga de luioh trop chou <3
ha oui on voit la fracture
Non je cherche ses maitres pour le moment
On verra