Nouvelle pose avec des cils en 0.20 de Cils France

  • Auteur de la discussion Auteur de la discussion chayo
  • Date de début Date de début
Re : pose du 14 mars

dis chayo tu as d'autres nouvelles poses a nous montrer que l'on se régale encore les yeux?chui vraiment gaga de ton travail et de ce rendu super soigné a chaque fois!!!!
tu peux me dire a quelle frequence tes modeles reviennent pour le remplissage stp?(elles doivent etre accroc!!!!!)
bizzzz:sun:
 
Re : pose du 14 mars

Et bien j en ai une demain pour un remplissage ki date du 19 mars je met les photos demain ou samedi matin et merci a toi c gentil
 
Re : pose du 14 mars

question bête... un remplissage c'est comme les ongles? les cils ont poussé aussi? comment vieillissent les point de colle noir a la basse des cils? ILS POUSSENT aussi? je compare avec les extensions de cheveux....
 
Re : pose du 14 mars

Photo avant et aprés .
Remplissage (pose faite le 19 mars) avec des c et b en 0.15et 0.20 10.11.12.13.9.
vec le colle prostar de cils france (super cette colle trés liquide ) bon je v travaillé bonne journée les filles
 

Pièces jointes

  • IMG_4732.jpg
    IMG_4732.jpg
    54.9 KB · Affichages: 110
  • IMG_4733.jpg
    IMG_4733.jpg
    48.2 KB · Affichages: 109
  • IMG_4731.jpg
    IMG_4731.jpg
    58.4 KB · Affichages: 108
  • IMG_4748.jpg
    IMG_4748.jpg
    43.2 KB · Affichages: 106
  • IMG_4753.jpg
    IMG_4753.jpg
    53.3 KB · Affichages: 112
  • IMG_4759.jpg
    IMG_4759.jpg
    29.9 KB · Affichages: 124
Re : pose du 14 mars

Merci les filles et pour repondre à Lauriane car je n avai pas le tps ce matin et bien en faite l' extension tombe en meme tps que le cil naturel donc la cliente les perds petit a petit(par contre on ne pose pas d extension sur les cils bébé car trop fragiles ) Ladurée de vie d un cil est de 45 à 90 jours.
Et pour les points de colles comme tu dis et bien ils vieillissent trés bien .
 
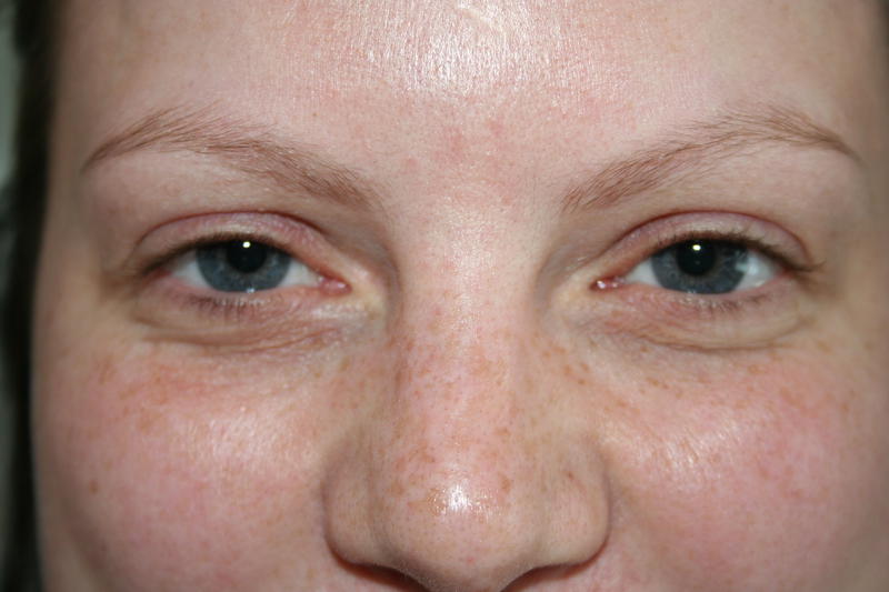
Re : pose du 14 mars

Bonsoir les filles alors ma pose de cet ap base de 7 et fine donc 0.15 en b et quelque c 10.11.10.9.8.7 avec la colle prostar (pose naturel)
 

Pièces jointes

  • IMG_4769.jpg
    IMG_4769.jpg
    42.9 KB · Affichages: 83
  • IMG_4770.jpg
    IMG_4770.jpg
    42.8 KB · Affichages: 89
  • IMG_4771.jpg
    IMG_4771.jpg
    24 KB · Affichages: 84
  • IMG_4773.jpg
    IMG_4773.jpg
    37.6 KB · Affichages: 88
  • IMG_4780.jpg
    IMG_4780.jpg
    37.4 KB · Affichages: 97
  • IMG_4772.jpg
    IMG_4772.jpg
    32.3 KB · Affichages: 91
  • IMG_4781.jpg
    IMG_4781.jpg
    43.5 KB · Affichages: 103
  • IMG_4782.jpg
    IMG_4782.jpg
    51.7 KB · Affichages: 107
  • IMG_4786.jpg
    IMG_4786.jpg
    44.7 KB · Affichages: 108
  • IMG_4788.jpg
    IMG_4788.jpg
    32.6 KB · Affichages: 114
Re : pose du 14 mars

Kikoo CHA!!!! Merciiii pour cet aprem!!! Sérieux ca m a redonnée la patate!! Du coup j'ai craqué la carte bleu!!! J ai commendé sur cil france, et sur tes conseils j ai commendé Adecil 3 revolutionnaire, mais ca me brulais les doigts de cliquer sur Adecile popstar!!!!lolll Voila encore merci à toi franchement super sympa!!!!!bisousssss
 
Re : pose du 14 mars

Kikoo CHA!!!! Merciiii pour cet aprem!!! Sérieux ca m a redonnée la patate!! Du coup j'ai craqué la carte bleu!!! J ai commendé sur cil france, et sur tes conseils j ai commendé Adecil 3 revolutionnaire, mais ca me brulais les doigts de cliquer sur Adecile popstar!!!!lolll Voila encore merci à toi franchement super sympa!!!!!bisousssss

Suis contente que ça aille mieux. Moi j'ai Adecil 3 tu vas déjà voir la différence.J'ai toujours le réflexe pouet pouet, il faut que j'arrête mais pas évident. Et puis les produits sont super. Allez on est motivé!!!
 
Re : pose du 14 mars

De rien Gaelle j aime tellement c ma drogue les cils lol!!
Gros bibi a vs les filles!!!
 
Re : pose du 14 mars

Pose avec des B en 0.15 7-8-9-10-11
 

Pièces jointes

  • IMG_4878.jpg
    IMG_4878.jpg
    24.6 KB · Affichages: 81
  • IMG_4885.jpg
    IMG_4885.jpg
    31.1 KB · Affichages: 85
  • IMG_4879.jpg
    IMG_4879.jpg
    26.6 KB · Affichages: 80
  • IMG_4886.jpg
    IMG_4886.jpg
    33.4 KB · Affichages: 82
Re : pose du 14 mars

rhoooo qu'elle a de beau yeux !!! et wouah moi j'adore :worthy:
 
Retour
Haut