vos achats make up du mois!

Jai recu mon colis coastal scents + masque anti boutons de The body shop, je teste un peu tout vu que jarrive pas a me débarrasser de mon acné..
 

Pièces jointes

  • ForumRunner_20140106_153148.png
    ForumRunner_20140106_153148.png
    868.9 KB · Affichages: 73
barbie-de-lux3 a dit:
tu te maquille plus depuis bébé ?

Juste les yeux/sourcils et RAL. Mais je me tartine pas de fond de teint etc... Donc je dois utiliser 2-3 pinceaux.
Mais ça va ma peau n'en a pas besoin. Donc pour l'instant ça va pas de pb.
 
qayso a dit:
Jai recu mon colis coastal scents + masque anti boutons de The body shop, je teste un peu tout vu que jarrive pas a me débarrasser de mon acné..
Fais nous des swatches et d'autres photos
 
Nerd a dit:
J'aime aussi bcp les blushs. Tu pourras nous dire ce Que tu penses de la qualité stp. Ils coûtent combien ?!

Looooll oui je vous dirais la tenue.. Franchement jai mi mon pinceau dedans jai testé c'est franchement bien (bon c'est pas un blush Sleek avec la pigmentation *1000 loool ) mais c top jai payé 10dollars mais ct soldé
 
qayso a dit:
Looooll oui je vous dirais la tenue.. Franchement jai mi mon pinceau dedans jai testé c'est franchement bien (bon c'est pas un blush Sleek avec la pigmentation *1000 loool ) mais c top jai payé 10dollars mais ct soldé

Ça vaut vraiment le coup!
 
Je me permets de te répondre car moi je souffre de l acné depuis ma grossesse et j utilise dermablend de Vichy et franchement je n ai jamais utilisé un FDT aussi couvrant !
Je le recommande vivement !

j'ai regardé un peu les avant après sur google, sur certaines il a l'air très couvrants, sur d'autres pas top
tu l'achètes où ce FDT
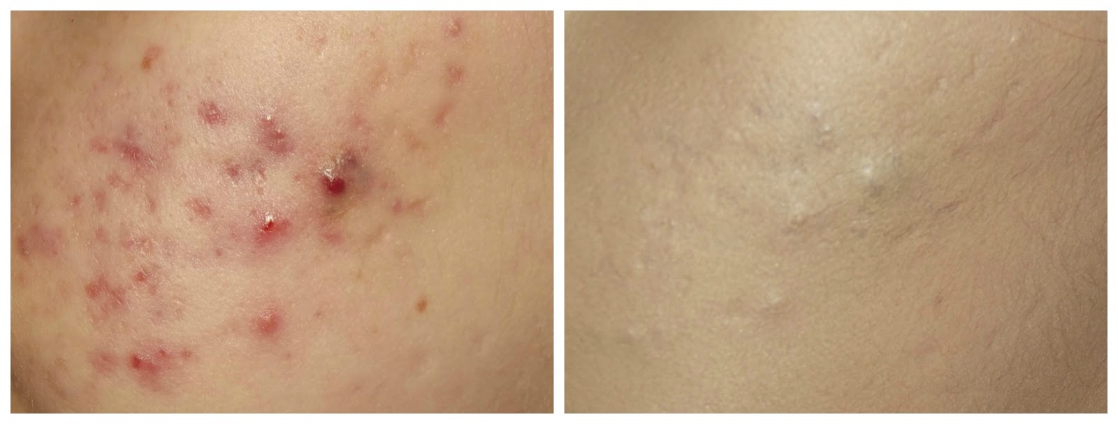
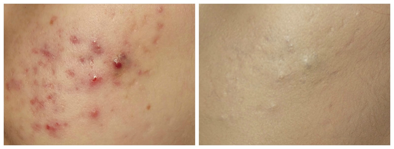
niveau couvrance je vois cette photo, ou je trouve vraiment pas mal

mais j'en ai vu d'autre ou bof bof
 

Pièces jointes

  • PicMonkey Collage.jpg
    PicMonkey Collage.jpg
    131 KB · Affichages: 82
color-mes-yeux a dit:
j'ai regardé un peu les avant après sur google, sur certaines il a l'air très couvrants, sur d'autres pas top
tu l'achètes où ce FDT
niveau couvrance je vois cette photo, ou je trouve vraiment pas mal

mais j'en ai vu d'autre ou bof bof

C'est en pharmacie et parapharmacie je crois ma belle. Moi aussi on me la conseillé je vais aller y jeter un coup doeil... Wouah la photoo la pauvre... Je me dis que cava moi à coté, quoi que gt pareil ya 3 ans
 
j'y ai pensé aussi au mat velvet, surtout que MUFE j'adore, j'avais le HD qui m'allait parfaitement, niveau teinte j'ai jamais trouvé aussi bien

et le Vichy il est a combien?
 
color-mes-yeux a dit:
j'y ai pensé aussi au mat velvet, surtout que MUFE j'adore, j'avais le HD qui m'allait parfaitement, niveau teinte j'ai jamais trouvé aussi bien

et le Vichy il est a combien?

Il est moins cher que MUFE et compagnie ca jen suis sure! Entre 15 et 20 je crois jveux pas dire de conneries lol
 
Retour
Haut